AGGIORNAMENTI
Cerca
Attualità
24 Giugno 2023 - 21:36
Zanzara (foto d'archivio)
Il caso di febbre Dengue diagnosticato a Moncalieri, città di quasi 60mila abitanti attaccata a Torino, rinnova l'allerta sul rischio delle malattie trasmesse dalle zanzare, favorite dai cambiamenti climatici, dalle estati sempre più lunghe e calde e dalle inondazioni.

Persona che mostra, sul dorso, l'esantema tipico della dengue.
Appena due giorni fa il monito dal Centro europeo per la prevenzione e il controllo delle malattie, con i dati del 2022 sui virus del Nilo occidentale: 723 casi, un terzo di quelli da contagio locale registrati in Europa (1.112) e 92 decessi.
Nel caso della Dengue, la malattia è endemica in più di cento Paesi in Africa, nelle Americhe, nel sud e nel sud-est asiatico e nella regione del Pacifico occidentale. E da un paese sudamericano era appena rientrata in Italia la persona che giovedì sera a Moncalieri ha accusato i sintomi sospetti poi confermati dagli esami clinici.

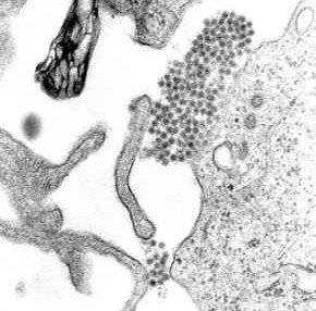
Virioni di Dengue virus visibili alla microscopia elettronica (sono il gruppetto di punti neri vicino al centro dell'immagine).
Il paziente non è ricoverato in ospedale e le sue condizioni generali non destano preoccupazione - ha informato il sindaco di Moncalieri, Paolo Montagna, precisando che "la situazione è sotto controllo".
Ma ieri aveva firmato un'ordinanza per avvisare la popolazione a prendere determinate precauzioni e per avviare il piano di prevenzione previsto dal Seremi, il Servizio di riferimento regionale per le epidemie. I tecnici di Ipla (Istituto per le piante da legno e l'ambiente), coadiuvati dalla polizia locale, sono intervenuti per distruggere le larve di zanzara tigre, insetto vettore del contagio, anche nelle proprietà private, in tutta l'area potenzialmente a rischio.

La zanzara tigre comune (Aedes albopictus Skuse, 1894) è un insetto appartenente alla famiglia Culicidae.
Intervento terminato oggi, ma "prosegue in ogni caso il monitoraggio e il lavoro comune di tutti gli enti e istituzioni coinvolti", ha spiegato il sindaco ricordando che "resta viva la raccomandazione, come previsto dall'ordinanza, di attendere 15 giorni prima di consumare frutta e verdura che siano state coltivate nella zona di trattamento, lavando abbondantemente e sbucciando la frutta prima dell'uso".
Dal virologo Giovanni Di Perri, ordinario di Malattie Infettive all'Università di Torino, l'invito a non creare allarmismi: "Abbiamo casi di Dengue - ha spiegato- almeno una decina di volte all'anno. Il più delle volte sono di rilievo ambulatoriale e non c'è neppure bisogno del ricovero", come nel caso del paziente di Moncalieri. "In oltre il 90% dei casi infatti la Dengue resta nella forma di malattia simil-influenzale. Solo in rari casi si presenta nella forma emorragica, che può essere grave".

Quindi l'ultimo caso ha buone possibilità di restare isolato e non creare contagi. "Una cosa da far sapere - aggiunge Di Perri - è che la zanzara vettore in grado di trasmettere la Dengue morde di giorno, non di sera o nella notte".
Edicola digitale
I più letti
LA VOCE DEL CANAVESE
Reg. Tribunale di Torino n. 57 del 22/05/2007. Direttore responsabile: Liborio La Mattina. Proprietà LA VOCE SOCIETA’ COOPERATIVA. P.IVA 09594480015. Redazione: via Torino, 47 – 10034 – Chivasso (To). Tel. 0115367550 Cell. 3474431187
La società percepisce i contributi di cui al decreto legislativo 15 maggio 2017, n. 70 e della Legge Regione Piemonte n. 18 del 25/06/2008. Indicazione resa ai sensi della lettera f) del comma 2 dell’articolo 5 del medesimo decreto legislativo
Testi e foto qui pubblicati sono proprietà de LA VOCE DEL CANAVESE tutti i diritti sono riservati. L’utilizzo dei testi e delle foto on line è, senza autorizzazione scritta, vietato (legge 633/1941).
LA VOCE DEL CANAVESE ha aderito tramite la File (Federazione Italiana Liberi Editori) allo IAP – Istituto dell’Autodisciplina Pubblicitaria, accettando il Codice di Autodisciplina della Comunicazione Commerciale.