Cerca

Tumore polmone,da dicembre campagna per diagnosi precoce

Tumore polmone,da dicembre campagna per diagnosi precoce

Tumore al polmone

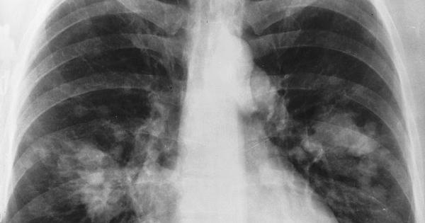
Soltanto sei secondi per accertare, con gli strumenti diagnostici più avanzati come la Tac Spirale a basso dosaggio, le condizioni in cui versano i propri polmoni, per individuare con una diagnosi precoce un tumore, riducendone la mortalità anche fino al 20%. E' questo l'obiettivo di 'Un Respiro per la Vita', campagna di diagnosi precoce giunta alla terza edizione e promossa dal Policlinico Universitario Campus Bio-Medico, rivolta a fumatori o ex-fumatori di almeno 15 sigarette al giorno con età non inferiore a 55 anni. Nei mesi di dicembre e gennaio, il Campus Bio-Medico metterà a disposizione gratuitamente 28 indagini con TAC Spirale a basso dosaggio a settimana, che permettono di "scannerizzare" i polmoni, ottenendo immagini dettagliate e riducendo allo stesso tempo l&rsquoesposizione alle radiazioni ionizzanti rispetto ad altre tecnologie. L'esame verrà affiancato, nella medesima giornata, dalla visita specialistica del chirurgo toracico, nell'ambito della quale sarà consegnato il referto, con l'indicazione di come approfondire, se necessario, l'iter diagnostico. È possibile prenotare chiamando il numero telefonico dedicato 06.225411460, attivo dal lunedì al venerdì dalle ore 9.30 alle 12.30 e dalle 13.30 alle 15.30."La diagnosi precoce &ndash spiega il dottor Pierfilippo Crucitti, coordinatore dell&rsquoiniziativa &ndash è essenziale per individuare eventuali formazioni neoplastiche quando hanno ancora dimensioni inferiori ai 5 millimetri di diametro e risultano, dunque, più facilmente "  
Commenti scrivi/Scopri i commenti

Condividi le tue opinioni su Giornale La Voce

Caratteri rimanenti: 400

Resta aggiornato, iscriviti alla nostra newsletter

Edicola digitale

Logo Federazione Italiana Liberi Editori